Complete transection of the left thyroid gland after blunt trauma to the neck
Written by Florian Oberndoerfer
Category
Published 10 September 2012

Florian Oberndoerfer, MS, Ann-Kathrin Schmidt, MS, Christian A. Seiler, MD, Beat Schnüriger, MD
Department of Visceral Surgery and Medicine. Bern University Hospital, CH-3010
Introduction
Here we present a patient who suffered laceration of the thyroid gland after accidental, work-related strangulation. The available literature on blunt injuries to the thyroid gland is limited. Most of the articles describe contusions or partial lacerations. Here, we present a patient with complete transection of the left thyroid gland, which, to the best of our knowledge, has never been described before.
Case report
A 42-year-old patient, a forester, suffered an injury from a heavy steel wire rope that unexpectedly flicked to his anterior neck while he was cutting down trees. According to the patient, he did not lose consciousness. He was admitted without delay to a regional hospital.
The patient presented in a hemodynamically stable condition and an ultrasound examination and an X-ray of the neck were performed. A pulsating hematoma of the left thyroid lobe was diagnosed. The patient was then immediately transferred to the Emergency Department of Berne University Hospital.
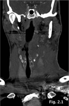
Upon admission, the external examination showed a contusion and a large neck hematoma of 12 x 6 cm within Zone I of the neck (Fig. 1). The patient had no dyspnea or hemoptysis and there was no subcutaneous emphysema.
The hematoma was not pulsatile, remained clinically stable and the carotid pulse was palpable bilaterally. No neurological deficits were identified. The patient mentioned some pain when swallowing.
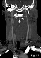
A contrast-enhanced CT-scan of the head and neck was performed. This showed complete laceration of the left lobe of the thyroid gland, which was transected into an upper and a lower portion. No contrast extravasation - a sign of active bleeding - was present at this time. The left superior thyroid artery was not injured and perfusion of the upper fragment of the left split thyroid gland was intact.
The situation was similar in the lower fragment, which was fed by the inferior thyroid artery (Fig. 2).The larynx and trachea did not show any abnormalities.
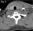
However, a large hematoma of the soft tissue expanding to the hypopharynx could be observed. The swelling impaired the differentiation of the Mm. sternohyoideus, sternothyroideus, thyrohyoideus, omohyoideus and left sternocleidomastoideus. Some muscle fibres of the latter seemed to be partially ruptured. The centre line was significantly displaced to the right, but without tracheal compression (Fig. 3).
Dissection of the carotid arteries and pseudoaneurysm were excluded by duplex-sonography. The jugular veins were open, with no signs of posttraumatic thrombosis (Fig. 4).
During hospitalisation, the patient developed a hoarse voice and therefore underwent a laryngoscopic examination, which confirmed normal, symmetric movement but a small hematoma of the vocal cords.
As the patient’s upper airways were intact and he was haemodynamically stable, he was treated conservatively. Local cooling and analgesia and anti-inflammatory medication were administered. The patient was discharged home on the third day after admission, with some mild hoarseness.
Two months after the accident, the patient presented to the outpatient department for a follow-up. Clinical examination revealed some mild swelling of the left lateral thyroid area. Movement of the head was not impaired and no pain was expressed. The patient complained that his voice tired when he had been speaking loudly for some time. The control sonography showed a post-traumatically modified left thyroid lobe, with scarring of the left M. sternocleidomastoideus. A second laryngoscopic examination found no sign of pathological changes in the vocal cords. Clinical chemistry measurements indicated that there was no loss of thyroid function.
Discussion
A review of the available literature on blunt traumatic thyroid parenchymal ruptures or transection showed that such injuries are rare. Only six articles were found describing patients with lacerations of the thyroid parenchyma. In contrast, hematomas, ruptures of the capsule and fractures of the thyroid and cricoid cartilage are more common consequences of strangulation.
Mechanisms causing blunt trauma to the neck and strangulation most commonly are seat belts, hangings, overextension or overflexion injuries. Lesions associated with this mechanism of injury are laryngotracheal, spinal, or vascular injuries. Bleeding from the large cervical blood vessels, may result in airway compression or hemorrhagic shock.
Emergency surgical exploration of the neck is required if an airway is compromised (dyspnea), the hemodynamic state is unstable, if carotid pulses are absent, or if there is an expanding or pulsatile hematoma. Other patients should undergo a contrast-enhanced CT scan of the neck including CT angiography, in order to rule out any of the above mentioned injuries. Laryngo-tracheoscopy should be performed for suspected injuries to the larynx or trachea. For suspected esophageal injuries, a gastrographin swallow or esophagoscopy should be performed.
Vascular injuries are often asymptomatic on admission. Intimal tears may cause thrombosis and subsequent cerebral stroke several days later and need to be excluded. Liberal CT angiography evaluation should be considered in all patients with suspicious mechanism of injury, such as seatbeltmark signs, hematomas, cervical spine or severe craniofacial trauma.
The outcome for the patient presented here was quite favourable. The blow to his anterior neck must have been major. He was lucky that the paratracheal hematoma did not compress any vital structures and that the upper and lower fragments of the left thyroid gland remained perfused and vital. Thus, resection of necrotic tissue and loss of thyroidal tissue could be avoided. Furthermore, the right thyroid gland was not injured at all. In addition, the N. vagus, N. phrenicus, N. recurrens and accessory nerves, were not affected. Therefore, diaphragm function and the opening of the vocal cords remained intact.
A selection of recommended articles
- Madea B, Dettmeyer R.: Basiswissen Rechtswissen, 1. Auflage, 2007, Springer, p. 146
- Lawton G.: Traumatic haemorrhage into the thyroid simulating major vessel damage from deceleration injury. Thorax. 1974 Sep;29(5):607-8.
- Heizmann O, Schmid R, Oertli D.: Blunt injury to the thyroid gland: proposed classification and treatment algorithm. J Trauma. 2006 Oct;61(4):1012-5.
- Weeks C, Moore FD Jr, Ferzoco SJ, Gates J.: Blunt trauma to the thyroid: a case report. Am Surg. 2005 Jun;71(6):518-21.
- Hirshoren N, Hocwald E, Eliashar R. Isolated traumatic thyroid hemorrhage secondary to air bag deployment. Otolaryngol Head Neck Surg. 2004 Jun;130(6):791-3.
- Borowski DW, Mehrotra P, Tennant D, El Badawey MR, Cameron DS.: Unusual presentation of blunt laryngeal injury with cricotracheal disruption by attempted hanging: a case report. Am J Otolaryngol. 2004 May-Jun;25(3):195-8.
- Lodder J. Traumatic rupture of the thyroid gland--a case report. S Afr J Surg. 2001 May;39(2):53-4.
- Ahrens J, Jüttner B, Heidt S, Scheinichen D, Przemeck M.: Thyroid gland rupture: A rare case of respiratory distress. J Emerg Med. 2009 Jun 20.





Comments